Jak nám paraziti škodí?

Jak nám paraziti škodí?

Paraziti denně jedí a produkují odpad. Nejedí jen naše jídlo, ale mnozí jedí také lidské tkáně. Také mohou jíst proteinové schránky našich nervů.

Vzhledem k našemu „modernímu“ způsobu života dochází ke zcela nenormálním a mnohdy život ohrožujícím stavům právě z důvodu výskytu a pomnožení parazitů, kteří svá vajíčka protlačují přes mikroskopické trhlinky ve střevech do krevního oběhu, čímž dochází k velkému, postupujícímu a skrytému nebezpečí. Vajíčka parazitů jsou krví roznášena k jednotlivým orgánům po celém těle. Paraziti mají vlastní maskovací systém, který je chrání od zničujících účinků našeho imunitního systému. Využívají živin a tělesných tekutin a proto je náš imunitní systém považuje za součást těla. Postupné osidlování těla parazity v sobě skrývá mnohá nebezpečí, která se ve fyzické podobě mohou projevit až za několik let po prvotní kontaminaci. Největším problémem však je, že postupným zamořováním našeho těla parazity dochází také ke snižování účinnosti lidského imunitního systému. Platí zde jednoznačné a neměnné pravidlo: parazitizmus = snižování imunity.

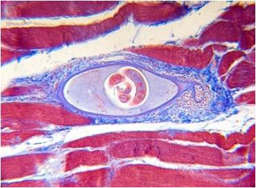
Endo limax nana je parazit, o kterém se ví, že vyjídá vápník z našich kostí a způsobuje artritidu. Entamoeba Histolytica se může dostat do jater, plic a mozku. Nedospělí červi škrkavky, také známé jako ascaris, mohou proniknout do našich plic a mohou způsobovat astma.

Hodně případů chronické anémie jsou způsobeny parazity s názvem měchovci, také se jim říká Necator Americanus (s významem americký vrah). Tento parazit se přichytí k výstelce střeva a prokouše se do cév. Každý den vypije obrovské množství krve. Hemoglobin nižší než 15% byl takto snížen u osob s chronickou chorobou způsobenou měchovci. Experti se nyní shodují na tom, že některé epileptické záchvaty mohou být způsobeny parazity, protože se mohou dostat i do našeho mozku.

Nedávno se v knize Dr. Huldy Clarkové Léčba všech nemocí spekulovalo, že i diabetes může být způsoben parazitem nazývaným motolice, který se dostane do slinivky břišní a způsobí její selhání. Televizní pořad „60 minut“ zdůraznil příběhy mnoha dětí, které měly nafouklé bříško a umíraly z neznámých příčin. Při autopsii se zjistilo, že zemřely na psí hlísty ( tasemnice ).Ty chytily od psů a smrtelně se infikovaly. V poslední době se zjišťuje, že srdeční choroby a srdeční infarkty jsou častější u majitelů psů, protože se tito psí milovníci od nich infikovali červy. Tuto skutečnost podpořilo velké množství autopsií.

Dalším typem červů jsou trichuriázy (tenkohlavec lidský)Tito červi injekčně vpraví trávící tekutinu do tlustého střeva, ta pak tkáň tlustého střeva přemění na tekutinu, kterou pak tito červi sají. Opravdu pestrá klinická manifestace této infekce je způsobena traumatizací zažívacího traktu a toxoalergic­kým působením, ale intenzita projevů vždy souvisí s množ­stvím parazitů. Lokální projevy na střevní sliznici mohou vést od asymptomatického průběhu nebo lehkého katarál­ního zánětu přes hemoragie až ke vředům, při opravdu ma­sivní nákaze se může dokonce objevit prolaps rekta. Ne­moc je provázena trávicími obtížemi, flatulencí, bolestí bři­cha, tenezmy, hlenovitými až krvavými průjmy, zvracením. Problémy jsou rázu akutního i chronického. Nemocní na­víc často udávají bolesti hlavy, závratě, nespavost, vzácně se vyskytnou epileptiformní záchvaty. Neléčená trichurió­za je zvláště v rozvojových zemích jednou z častých příčin podvýživy, růstové retardace a trvale snižuje imunokompe­tenci imunitního systému hostitele.

Roupi bývají často nalezeni v děloze, vulvě a vejcovodech žen. Je to proto, že když červ cestuje konečníkem ven, aby nakladl vajíčka do vaginy, často ztratí cestu zpět do tlustého střeva. Není divu, že se některé ženy nemohou zbavit svých vaginálních infekcí. Červi jak cestují, neustále s sebou přenášejí bakterie a kandidu na reprodukční orgány. A aby to bylo horší, dělají to v noci, když člověk spí. Zní to neuvěřitelně? Nebývá svědění konečníku nebo potíže se svěděním genitálií horší právě večer nebo v noci? Hádejte, kdo přišel na večeři? Paraziti produkují toxický odpad. Jsou to jejich výkaly a moč. Jejich moč je čistý amoniak. Tyto odpadky stresují ledviny, játra a imunitní systém.

 

Jak se do nás paraziti dostanou?

Základní cesta je skrze jídlo a vodu. Přes 50% zdrojů vody a jídla je infikováno. Organické jídlo je v tomto případě horší, protože se hnojí zvířecími výkaly.

Většina prostředků denní potřeby, které používáme jako mýdla, šampony, krémy a čistící prostředky jsou bohaté na rozpouštědla. Nejčastější jsou benzen a propylalcohol. Tyto prostředky způsobují, že se mikroskopická vajíčka ještě rychleji líhnou v našich tělech. Před mnoha lety, kdy jsme nebyli vystaveni těmto chemikáliím, vajíčka parazitů našimi těly prošla, aniž by nám ublížila. Vajíčka parazitů jsou mikroskopická a představují velmi vážné riziko. Mohou se přenášet sexuálně, podáním ruky, chůzí naboso, jedením a pitím z nádobí a příborů někoho jiného, plaváním v zamořených jezerech, řekách a potocích, dokonce pouhou návštěvou pláže.

Nedávné výzkumy zjistily, že inspektoři dobytka jsou skutečně potřeba, jelikož asi polovina dobytka je infikována parazity, a měla by jít na porážku.

Vajíčka parazitů putují i vzduchem, a můžete je klidně najít v každém pokoji v domě. Parazity přenášejí také naši zvířecí mazlíčci. Každý, kdo onemocněl, by si měl zapamatovat, kdy se to stalo a jestli to nesouvisí s nějakým zvířecím miláčkem. Velmi často se opomíjí skutečnost, že onemocnění dítěte a nový domácí mazlíček mají souvislost! Dospělí nepodstupují antiparazitární léčbu současně se svými dětmi, přestože jejich dítě bylo nakaženo. Také nekontrolovaně roste spotřeba sladkostí a cukr způsobuje, že paraziti se množí v těle mnohem rychleji než normálně.

Ztracená dovednost odčervovat se

Před rokem 1930 bylo velmi běžné, že lidé brali ricinový olej, minerální olej nebo nějaký druh bylinkové tinktury, aby si z těla vyčistili parazity. Každé etnikum má v této praxi nějakou tradici. Dělalo se to každých 6 měsíců nebo jednou ročně na přelomu ročních období. Tak se lidé udržovali prosti parazitů. Lékaři v devatenáctém století dohlíželi na to, aby se lidé takto očišťovali každého půl roku nebo alespoň jednou ročně. Od toho vznikly pravidelné preventivní prohlídky po půl roce nebo po roce. V Evropě lidé pravidelně odčervují své domácí mazlíčky minimálně jednou za rok, nejlépe jednou za půl roku.

Pokud je člověk zdravý, tělo je schopné se vyrovnávat s odpadními produkty, které tito paraziti produkují, a nezpůsobuje to v těle nemoc. Nicméně nemoc se takto může kdykoli spustit, pokud se tělo oslabí stresem, dietou nebo znečištěním ze životního prostředí a věcí denní potřeby.

Pouhé tři bylinky mohou v těle zabít až sto druhů parazitů. A to bez nějakých nepříjemných tělních projevů. Musí se použít dohromady, aby se zabily všechna stádia vývoje parazitů. Máme vypracované přesné postupy, jak Vás parazitů zbavit frekvenční terapií, stravou i bylinkami.

 

Kolik parazitů může být v jednom lidském těle?

Při jedné studii bylo v jedno těle zjištěno toto množství červů:

  • Acanthocephala 7 druhů
  • Nematoda 138 druhů
  • Nematomorpha 24 druhů
  • Platyhelminthes 173 druhů
  • Digenea 113 druhů
  • Eucestoda 57 druhů
  • Turbellaria 3 druhů
  • DOHROMADY 342 druhů

Zdroj: Journal of Parasitology 85:379-403 Dr. D.W.T. Crompton (Crompton, D.W.T. [1999])

 

Komentáře jsou uzavřeny.